Med Oral Patol Oral Cir Bucal. Wains criteria peripheral palisading association with SCC high nuclear-cytoplasmic ratio high mitotic rate solid growth anti-34BE12 and CK 56 staining and absence of neuroendocrine markers are mandatory for the diagnosis of BSCC.
Basaloid squamous cell carcinoma BSCC is a rare variant of squamous cell carcinoma SCC of the head and neck.
Squamous cell carcinoma basaloid type. Basaloid squamous cell carcinoma BSCC is a rare variant of squamous cell carcinoma SCC of the head and neck. Wains criteria peripheral palisading association with SCC high nuclear-cytoplasmic ratio high mitotic rate solid growth anti-34BE12 and CK 56 staining and absence of neuroendocrine markers are mandatory for the diagnosis of BSCC. Basaloid squamous cell carcinoma or BSCC is a rare cancer most often found in the upper digestive and respiratory tracts.
These types of carcinomas may develop in either gender at any age but the condition seems more predominant in males around the age of 60. Basaloid squamous cell carcinoma 128634009 Definition A squamous cell carcinoma characterized by the presence of cells with hyperchromatic nuclei scant. Basaloid squamous cell carcinoma SCC of the anus previously called cloacogenic carcinoma is a subtype of SCC.
There are very few data on the morphologic variation within basaloid SCC of the anus which may contribute to misdiagnosis. We retrospectively evaluated cases originally diagnosed as bas. Basaloid squamous cell carcinoma BSCC an aggressive tumor of the aerodigestive tract was described over 20 years ago and its defining histologic parameters remain largely unchanged.
While rare reports have noted cutaneous metastatic deposition primary. D Basaloid squamous cell carcinoma BSCC has been described in the aerodigestive tract but not as a primary cutaneous neoplasm. D Three patients with tumors exhibiting features of a BSCC are reported.
Each expressed cytokeratin 56 and cytokeratin 34bE12 but not Ber-EP4 or bcl-2 a pattern at variance with that of basal cell carcinoma. Basaloid squamous cell carcinoma of the esophagus is very rare. Further polypoid type of esophageal cancer is also rare.
We have recently treated a case of basaloid squamous cell carcinoma which presented as a 13-cm esophageal polyp. Very poor prognosis in most cases World J Gastroenterol 19984397 Cancer 1997791871 Better prognosis that occurs with HPV associated basaloid squamous cell carcinoma of upper aerodigestive tract is different from basaloid squamous cell carcinoma of. Basaloid squamous carcinoma BSC is a distinctive variant of squamous cancer that typically occurs in the upper aerodigestive tract and the anal canal 11.
Historically this rare histologic subtype of squamous cancer has been diagnosed in 3 patients with colorectal tumors none more proximally than the splenic flexure 12. Basaloid squamous cell carcinomaBSCCis a rare aggressive malignant tumor that is a distinct vari- ant of squamous cell carcinoma. It is mostly seen in the supraglottic larynx hypopharynx and base of the tongue.
Basaloid squamous cell carcinoma Basaloid squamous cell carcinoma is a high-grade variant of SCC composed of both basaloid and squamous components Barnes et al 2005. It is an aggressive rapidly growing tumor characterized by an advanced stage at the time of diagnosis cervical lymph node metastases and a poor prognosis. Squamous cell carcinoma is the second most common type of skin cancer after basal cell carcinoma.
Most often it is caused by exposure to UV rays either through natural sunlight or by indoor tanning. People with fair skin are particularly susceptible. Med Oral Patol Oral Cir Bucal.
2010 May 115 3e451-5. Basaloid squamous cell carcinoma Introduction Basalioid squamous cell carcinoma BSCC is a rare variant of squamous cell carcinoma. It was first reported by Wain et al.
Since then around 200 cases have been published and almost one third of them are located in the larynx 2. Basal cell carcinoma also called basal cell skin cancer is most common type of skin cancer. About 8 out of 10 skin cancers are basal cell carcinomas also called basal cell cancers.
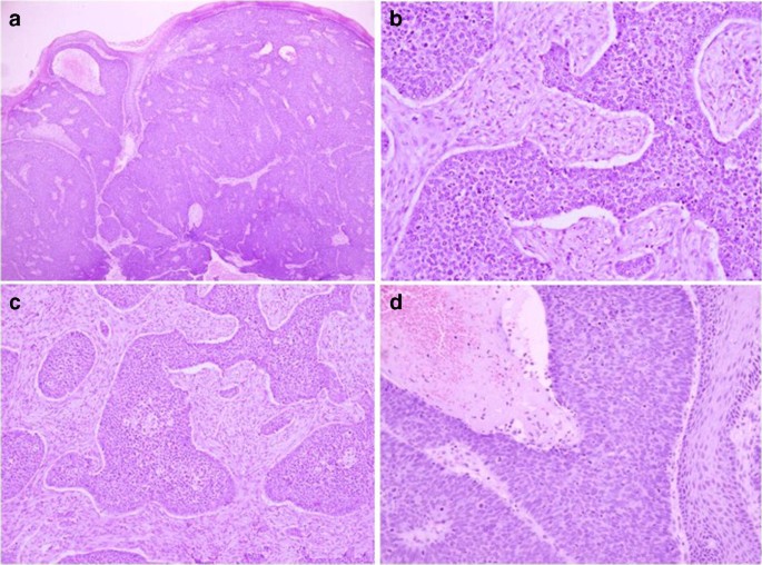
These cancers start in the basal cell layer which is the lower part of the epidermis. Microscopic histologic description Lobules nests or cribriform patterns of small basaloid cells with peripheral palisading and a thick basement membrane Cells have minimal cytoplasm are moderately pleomorphic with hyperchromatic nuclei and often abrupt transition to squamous epithelium. In this study clinical and pathologic parameters of 17 BSCCs and 133 typical SCCs of the esophagus that underwent potentially curative resection no distant metastases.
Squamous cell carcinoma that develops on the skin is usually caused by spending too much time in the sun over the course of your life. This type of skin cancer tends to grow and spread more than.