The goal of these studies was to define the transcriptional changes associated with SPEM at the individual cell level in response to acute drug injury and chronic inflammatory damage in. Therefore we sought to investigate if.
Clinical significance of spasmolytic polypeptide-expressing metaplasia and intestinal metaplasia in Epstein-Barr virus-associated and Epstein-Barr virus-negative gastric cancer.
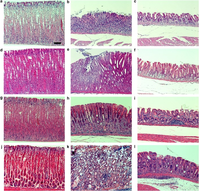
Spasmolytic polypeptide expressing metaplasia. 11 rânduri Similarly in the stomach oxyntic atrophy associated with chronic H. Pylori infection is associated. Spasmolytic polypeptide-expressing metaplasia SPEM and intestinal metaplasia IM have been recognized as neoplastic precursors in gastric carcinogenesis.
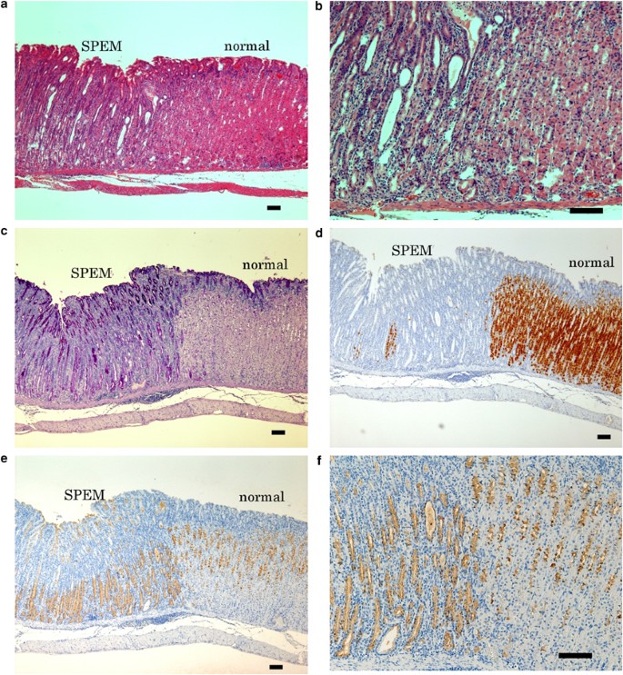
We explored the relationship between SPEM and IM in Epstein-Barr virus-associated EBVaGC and. SPEM is a metaplastic mucous cell lineage with phenotypic characteristics of deep antral gland cells including strong expression of trefoil factor 2. Spasmolytic polypeptidetrefoil factor 2-expressing metaplasia SPEM is known to emerge after parietal cell loss and during Helicobacter pylori infection however its role in gastric ulcer repair is unknown.
Therefore we sought to investigate if. Recent studies have described a spasmolytic polypeptide-expressing metaplastic cell lineage SPEM in the gastric fundic mucosa associated with both chronic H. Pylori infection and gastric adenocarcinoma.
We investigated the association of SPEM both with early gastric adenocarcinoma and in biopsies taken from patients prior to diagnosis of cancer. Objective Metaplastic lineages in the oxyntic mucosa of the stomach are critical preneoplastic precursors of gastric cancer. Recent studies have demonstrated that spasmolytic polypeptide-expressing metaplasia SPEM in the mouse oxyntic mucosa arises from transdifferentiation of mature gastric chief cells.
Spasmolytic polypeptide TFF2-expressing metaplasia SPEM is observed in mucosa adjacent to human gastric cancer and in fundic glands showing oxyntic atrophy in Helicobacter felis -infected mice. Spasmolytic polypeptidetrefoil factor 2expressing metaplasia SPEM is known to emerge after parietal cell loss and during Helicobacter pylori infection however its role in gastric ulcer repair is unknown. Therefore we sought to investigate if SPEM plays a role in epithelial regeneration.
Loss of parietal cells causes the development of spasmolytic polypeptide-expressing metaplasia SPEM through transdifferentiation of chief cells. In the presence of inflammation SPEM can advance into a more proliferative metaplasia with increased expression of. Recently spasmolytic polypeptide-expressing metaplasia SPEM is proposed for pyloric gland-like metaplasia mainly in animal experiments.
SPEM expresses trefoil factor family 2 TFF2 and is often considered synonymous with pseudopyloric metaplasia. Objective Spasmolytic polypeptide-expressing metaplasia SPEM is a regenerative lesion in the gastric mucosa and is a potential precursor to intestinal metaplasiagastric adenocarcinoma in a chronic inflammatory setting. The goal of these studies was to define the transcriptional changes associated with SPEM at the individual cell level in response to acute drug injury and chronic.
Spasmolytic polypeptideexpressing metaplasia SPEM is a preneoplastic gastric cancer lesion related to epigenetic microRNA miRNA expression. このSpasmolytic Polypetide Expressing metaplasia SPEM はヒト胃癌に隣接する胃粘膜やHelicobacter felis Hfelis を感染させたマウスラットの残胃癌モデルでも観察された. Spasmolytic polypeptide-expressing metaplasia SPEM is a regenerative lesion in the gastric mucosa and is a potential precursor to intestinal metaplasiagastric adenocarcinoma in a chronic inflammatory setting.
The goal of these studies was to define the transcriptional changes associated with SPEM at the individual cell level in response to acute drug injury and chronic inflammatory damage in. Recent investigations have also highlighted the existence of a second metaplastic lineage Spasmolytic Polypeptide-Expressing Metaplasia SPEM. SPEM is a metaplastic mucous cell lineage with phenotypic characteristics of deep antral gland cells including strong expression of Trefoil Factor 2 TFF2 previously designated as spasmolytic.
Gastric de novo Muc13 expression and spasmolytic polypeptide-expressing metaplasia during Helicobacter heilmannii infection. Liu C 1 Smet A 2 Blaecher C 1 Flahou B 1 Ducatelle R 1 Linden S 3 Haesebrouck F 1. 1Department of Pathology Bacteriology and Avian Diseases Faculty of Veterinary Medicine Ghent University Merelbeke.
SPEM stands for Spasmolytic Polypeptide Expressing Metaplasia also Scanning Photoelectron Microscopy and 29 more What is the abbreviation for Spasmolytic Polypeptide Expressing Metaplasia. The loss of parietal cells can lead to two distinct types of mucous metaplasia. Intestinal metaplasia and spasmolytic polypeptide-expressing metaplasia SPEM.
It has been suggested that intestinal metaplasia develops in the presence of pre-existing SPEM supporting the role of SPEM as a neoplastic precursor in the carcinogenesis cascade 6. Clinical significance of spasmolytic polypeptide-expressing metaplasia and intestinal metaplasia in Epstein-Barr virus-associated and Epstein-Barr virus-negative gastric cancer. Zhang Y Chen JN Dong M Zhang ZG Zhang YW Wu JY Du H Li HG Huang Y Shao CK.
Hum Pathol 63128-138 12 Mar 2017.